Flexible Displays: A Revolutionary Breakthrough!
Flexible displays, when they hit the market, could provide endless possibilities for design and innovation.
For decades displays have been simply flat pieces of glass...
Understanding Spectrogram of Speech Signal Using MATLAB Program
This article explains spectrogram of the speech signal (analysis and processing) with MATLAB to get its frequency-domain representation.
In real life, we come across many...
Weather Forecasting on ESP32
In any power utility corporation ash dyke management is a huge issue. For fugitive dust control huge sprinklers that spray water all along the...
Automatic Plant Watering System with Melody
In our usual busy routine, one of the reasons for people hesitating to keep plants at their home is that people forget to water...
Tutorial: Bipolar Transistor Switching Time Measurement
In this video, the presenter will be explaining good, bad and ugly aspects of switching time measurements on bipolar transistors (BJTs).
We find that the...
How do Digital Subscriber Lines, or xDSLs, Work?
xDSL refers collectively to all types of digital subscriber lines, the two main categories being ADSL and SDSL. Two other types of xDSL technologies are High-data-rate DSL (HDSL) and Very high DSL (VDSL).
There are...
Pictionary Play With Computer will Soon be A Reality.
An image-based word prediction game has been developed by researchers by Department of Computational and Data Sciences at Indian Institute of Science. This computational...
Remote sensing helps scientists collect information about existence of water in...
Evidence of hydrous and hydrated minerals were identified in the Martian surface by remote sensing instruments developed by scientists from IIT Bombay. These minerals...
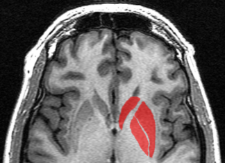
Miniaturized system will treat neurological disorders affecting particular regions in brain
Tiny quantities of medicines as small as 1 cubic millimetre will be transferred to the specific region of the brain circuit without disrupting the...
Next generation lithium batteries could receive better electrolytes based on design...
Designing and analysing of new ion conductors has a new approach which is a fundamental element in rechargeable batteries. This new approach can speed...
















